[경기 수원점] 골연령 5! Bone age (임영권 박사의 성장 치료 다섯 번째 이야기)
7,008회 23-11-07 10:41
본문
안녕하세요.
아이조아패밀리한의원 네트워크 대표원장 한의학 박사 임영권입니다.
지난 글들 중에서는 성장 진단과 성장 치료에서 중요한 5가지 중
1) 척추측만증 2) 리서사인 3) 손-Xray 골연령 측정 4) 팔꿈치 골연령(엘보아 라테랄)에 대해 살펴보았는데요.
이번에는 골연령 측정 시리즈의 마지막이자
5번째인 무릎 성장판에 대해 알아보겠습니다.
무릎 성장판이 기준은 손의 뼈들의 모양으로 골연령을 추정합니다.
그리고 척추가 휘었는지와 골반 성장판과 팔꿈치 성장판의
열린 정도로 현재 상태를 가름합니다.
그중에서도 제일 중요한 것은 실제로 키 성장이 이루지는
무릎 성장판의 형태입니다.
성장 시기의 소아청소년의 뼈의 말단 부위에서는
세포분화가 활발히 이루어집니다.
이때 연골조직으로 부드러운 부분의 길이 성장이 이루어지는데
이러한 부분을 성장판이라고 합니다.
흔히들 성장판이 열렸다고 하는 것은 이 부분의 세포분열이
왕성한 것을 의미하고 닫혔다고 할 대는 이미
분화가 완료된 것을 말합니다.
X-ray는 성장이 왕성한 연골 부위는 통과하기에 검게 나타나고,
이미 골화되어 석회화된 부분은 흰색으로 나타납니다.

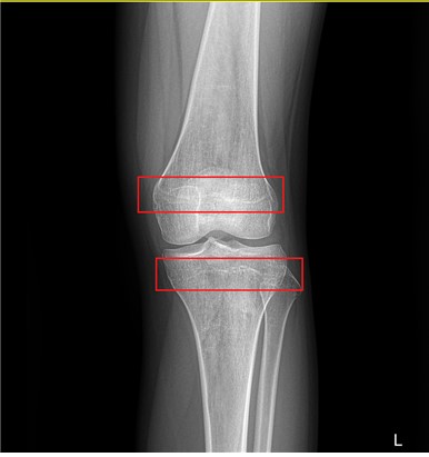
[사진 1 만 8세 남자 어린이의 무릎 성장판 x-ray]
위의 사진 1에서 부듯이 붉은 네모 안이 성장판 부분으로
뚜렷한 검은 선이 있음을 알 수 있습니다.

[사진 2. 만 15세 여자 어린이의 무릎 성장판 x-ray]
위의 사진 2에서는 그와 반대로 붉은 네모 안이 성장판 부분으로
검은 선이 희미하고 오히려 흰 색선이 있는 듯이 보이는 것은
이미 성장판이 많이 닫혀가고 있음을 알 수 있습니다.
저희 아이조아패밀리한의원에서는 좀 더 확실한 성장판을 확인하기
위하여 성장판이 전후면뿐만 아니라 측면에서도 확인을 하고 있습니다.

위의 사진 3에서는 붉은 네모 안의 성장판의 옆모습이 정확히 보이고
있습니다. 현재 잘 열려있는 상태입니다.
이렇게 무릎 성장판의 형태와 열린 정도를 측정하여 향후
성장 가능성을 추정할 수 있습니다.
손과 팔꿈치의 사진으로 골연령을 추정하는 것이 성장판 측정의
기본이나, 손의 성장판이 비록 어리게 나타나더라도 실제적으로
중요한 성장이 이루어지는 무릎부의 성장이 멈추는 경향이 있으면
당연히 키 성장도 더디게 됩니다.
그러므로 성장판 진단의 핵심인 얼마나 클 것인가의 부분은
무릎 성장판이 매우 중요합니다.
골연령 측정은 키나 체중 측정처럼 단순히 수치로만 나타내기 어려운
복합적인 부분을 고려하여야 합니다. 성장기 청소년의 종합적인
상태를 알고 체질과 증상에 맞는 치료법을 통하면 좀 더 효율적인
성장이 이루어지리라 생각합니다.
